Gastroenterology
消化器内科

胃・腸・肝臓・
胆のう・膵臓まで、
消化器全般を幅広く診療。
当クリニックでは、食道・胃・小腸・大腸・肝臓・胆のう・膵臓といった消化器全体の疾患に対応しています。腹痛や胸やけ、吐き気、下痢、便秘、血便など、消化器に関わるあらゆる症状の原因を丁寧に調べ、必要に応じて胃カメラ・大腸カメラ・腹部エコーなどの検査を行います。早期発見・早期治療を心がけるとともに、再発を防ぐための生活指導や食事アドバイスも実施。“おなかのかかりつけ医”として、専門的かつ身近な診療を提供しています。
診療の対象となる
主な症状
食道疾患(逆流性食道炎、食道がんなど)

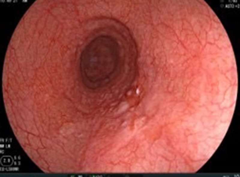
食道は、口から飲み込んだ食べ物を胃へ送るための細長い通路です。この部位には、胃酸の逆流によって粘膜が炎症を起こす逆流性食道炎や、細胞が異常に増えることで生じる食道がん、さらに食道静脈瘤など、さまざまな疾患が発生する可能性があります。胸やけやのどのつかえ感、飲み込みづらさ、持続する違和感などの症状が現れた場合は、早めの受診が大切です。内視鏡検査による観察と、必要に応じた組織採取(生検)で病変の有無を詳しく調べ、正確な診断につなげています。特に逆流性食道炎は生活習慣との関連が深いため、治療とあわせて食事・姿勢などの生活指導にも力を入れています。右は浅い陥凹を呈する食道粘膜内癌です。専門施設で内視鏡的切除を行い治癒しました。
胃疾患(胃炎、胃潰瘍、胃がんなど)

胃や十二指腸の粘膜に損傷が生じ、深い傷として形成されるのが消化性潰瘍です。みぞおちの痛み、張ったような不快感、空腹時や食後の違和感などが代表的な症状としてみられます。食後に症状が軽くなる場合は十二指腸潰瘍、反対に食後に痛みが強くなる場合は胃潰瘍が疑われます。原因として多いのは、ヘリコバクター・ピロリ菌の感染、NSAIDsと呼ばれる鎮痛薬の長期使用、過度な心理的ストレスなどです。治療では、胃酸を抑える薬(PPI)や、必要に応じてピロリ菌の除菌療法を行い、多くの患者さんで改善・治癒が期待できます。右の写真は大きい胃潰瘍を伴う進行胃癌で手術の適応でした。
腸疾患(過敏性腸症候群、潰瘍性大腸炎、クローン病など)

腸は、小腸と大腸に分けられ、栄養素の吸収や便の形成を行う消化管です。腸の疾患には、腹痛や便通異常を特徴とする過敏性腸症候群、大腸の粘膜に炎症や潰瘍ができる潰瘍性大腸炎、消化管全体に炎症が起こるクローン病、大腸ポリープや大腸がんなどがあります。腹痛、下痢、便秘、血便、粘液便、腹部膨満感などの症状がある場合は、早めの受診をお勧めします。当クリニックでは大腸内視鏡検査を行い、これらの疾患の早期発見・早期治療に努めています。特に大腸がんは早期発見により完治が期待できるため、40歳を過ぎたら定期的な大腸検査をお勧めしています。
肝臓疾患(脂肪肝、肝炎、肝硬変など)

肝臓は、解毒作用や栄養素の代謝、タンパク質の合成など多くの機能を持つ重要な臓器です。脂肪が過剰に蓄積する脂肪肝、ウイルス感染などによる肝炎、長期的な肝障害によって肝組織が線維化する肝硬変などの疾患があります。初期段階では自覚症状が乏しいことが特徴で、健康診断で肝機能異常を指摘されて発見されることが多くあります。進行すると、倦怠感、黄疸、腹水、食道静脈瘤などの合併症が出現することがあります。当クリニックでは血液検査や腹部エコー検査を通じて肝機能を評価し、適切な治療や生活指導を行います。特に脂肪肝は生活習慣の改善により改善が期待できるため、食事指導や運動療法のアドバイスも提供しています。
胆道・膵臓疾患(胆石症、膵炎など)

胆道系は胆汁の分泌・排出を担い、膵臓は消化酵素やホルモンを分泌する臓器です。胆のうや胆管に石ができる胆石症、膵臓に炎症が起こる膵炎などの疾患があります。これらは、右上腹部痛や背部痛、黄疸、発熱、悪心・嘔吐などの症状を引き起こすことがあります。特に急性膵炎は重篤化すると生命に関わる疾患となるため、強い腹痛がある場合は早急な受診が必要です。胆石症の多くは無症状ですが、胆石発作を起こすと激しい痛みを伴います。当クリニックでは超音波検査や血液検査を用いて診断し、適切な治療方針を決定します。また、胆石症の予防や再発防止のための食事指導も行っています。必要に応じて専門医療機関と連携し、総合的な医療を提供しています。
よくみられる症状と
受診の目安
-
腹痛・胸やけ
腹痛や胸やけは、胃炎・逆流性食道炎・胃潰瘍などの消化器疾患が原因の場合があります。軽い症状でも長引く、繰り返す場合は、早めの受診が大切です。特に食後の痛みや空腹時の違和感がある方は、胃カメラ検査で原因を確認することをおすすめします。
-
嘔吐・吐き気
食べ過ぎや一時的な胃の不調でも起こりますが、胃炎・胃潰瘍・腸閉塞など重い病気が隠れている場合もあります。吐き気が続く、血が混じる、食事が取れないなどの症状があるときは、早急な受診が必要です。脱水症状を防ぐためにも、我慢せずご相談ください。
-
下痢・便秘
下痢や便秘は、食生活やストレス、腸内環境の乱れなどが原因となることがありますが、過敏性腸症候群や炎症性腸疾患の可能性もあります。慢性的に続く場合や、排便後にスッキリしない・腹痛を伴う場合は、専門的な検査が必要です。
-
血便・黒色便
便に血が混じる、真っ黒な便が出る場合は、大腸ポリープ・大腸がん・胃潰瘍などの出血性疾患が考えられます。出血量が少なくても、繰り返す場合は注意が必要です。大腸内視鏡検査や便潜血検査によって、原因を早期に特定することが重要です。
-
黄疸・腹部膨満感
皮膚や白目が黄色くなる黄疸や、お腹の張りが続く場合は、肝臓や胆のう、膵臓の病気が関係していることがあります。放置すると重症化するおそれもあるため、早めの受診をおすすめします。腹部エコーや血液検査などで、臓器の状態を詳しく調べます。
当クリニックの
検査・治療
内視鏡検査
(胃カメラ・大腸カメラ)
内視鏡検査は、消化管内部を直接観察できる最も重要な検査方法の一つです。胃カメラでは食道・胃・十二指腸を、大腸カメラでは大腸全体を詳細に観察することができます。松井胃腸科クリニックでは、FUJIFILM社製の最新内視鏡システム「BLI/LCI」を導入しています。微細な病変の早期発見を目的とし、胃・大腸の内視鏡検査においてより正確で安全な診断を行っています。
超音波(エコー)検査

超音波検査は、体の表面から超音波を当て、内臓の状態をリアルタイムに画像化する安全で痛みのない検査法です。肝臓、胆嚢、膵臓、脾臓、腎臓などの腹部臓器の状態を詳細に確認し、腫瘤、結石、嚢胞などの異常を発見することができます。また、血流の状態も観察できるため、血管の詰まりや肝硬変に伴う門脈圧亢進症の評価にも役立ちます。検査は約15〜20分程度で終了し、放射線被ばくの心配もないため、妊婦さんや小さなお子様、高齢の方でも安心して繰り返し検査が可能です。検査中には画面を見ながら分かりやすく説明いたしますので、気になることがあればその場でお尋ねください。
血液検査・便検査

血液検査では肝機能(AST、ALT、γ-GTPなど)、腎機能、炎症反応(CRPや白血球数)など全身状態の評価や、CEA、CA19-9などの消化器系腫瘍マーカー、B型・C型肝炎ウイルス検査、ピロリ菌抗体検査などを実施しています。これらの検査結果から、肝臓や膵臓の病気、炎症性腸疾患、消化器がんなどの診断の手がかりを得ることができます。便検査では便潜血検査(大腸がん検診)、便中ピロリ抗原検査、便培養検査、ノロウイルスなどの感染症検査、便中カルプロテクチンなどを実施し、消化管出血の有無や感染症、炎症性腸疾患の診断・経過観察に役立てています。これらの検査は身体的負担が少なく、多くの情報が得られる基本的かつ重要な検査です。
CT・MRI検査
(提携医療機関での実施)

より詳細な画像診断が必要な場合には、近隣の提携医療機関でのCT検査やMRI検査をご案内しています。CTでは短時間で全身の断層画像を得ることができ、腫瘍の有無や大きさ、周囲との関係、転移の有無などを詳細に評価します。特に造影CT検査では、血管の状態や腫瘍への血流評価も可能です。MRIは放射線被ばくがなく、軟部組織のコントラストに優れており、特に肝臓や胆道・膵臓系の詳細な評価、小さな病変の発見に適しています。MRCP(MR胆管膵管撮影)では胆道や膵管の詳細な評価が可能です。当クリニックでは提携医療機関との緊密な連携体制を構築しており、検査予約から結果説明までスムーズに進めることができます。専門的な治療が必要な場合には、高度専門医療機関へのご紹介も迅速に対応いたします。
予防と健康管理
- 定期健診の重要性
- 消化器疾患の多くは初期症状が乏しいため、定期的な健康診断が早期発見の鍵です。40歳以上の方は年に一度、消化器系の検査を含む健診をお勧めします。当クリニックでは患者さんのリスク因子に応じた最適な健診プランをご提案。定期検査により、症状が現れる前に異常を発見し、より簡単な治療で済むことが多くなります。
- 消化器がん検診
- 胃がんや大腸がんは早期発見で治癒率が高まります。当クリニックでは胃がん検診(内視鏡・X線)、大腸がん検診(便潜血・内視鏡)を実施。40歳以上の方は便潜血検査を年1回、50歳以上は5年に1度の大腸内視鏡検査をお勧めします。ピロリ菌検査・除菌も実施しており、検診で異常が見つかった場合はその場で精密検査や治療方針の相談ができます。
- 食事と生活習慣の
アドバイス - 消化器の健康は食事や生活習慣と密接に関わります。当クリニックでは症状や検査結果に基づく個別の食事指導を実施。胃酸過多の方には食事時間の調整、過敏性腸症候群の方には食物繊維の摂取方法、脂肪肝には栄養バランスと運動の組み合わせなど、実践しやすいアドバイスを提供。禁煙指導や適切な飲酒量のアドバイスも行い、必要に応じて栄養士と連携し、患者さんの生活スタイルに合った継続可能な改善プランを提案します。
よくある質問
-
Q
痔の治療は痛みを伴いますか?
-
A
当クリニックでは患者さんの痛みを最小限に抑える治療を心がけています。保存的治療では痛みはほとんどなく、日帰り手術でも局所麻酔を使用し、痛みを抑えた処置を行います。治療方法によって痛みの程度は異なりますので、事前に詳しくご説明いたします。
-
Q
恥ずかしくて受診をためらっていますが、どのような配慮がありますか?
-
A
当クリニックではプライバシーに最大限の配慮をしております。肛門疾患は多くの方が経験する一般的な症状です。恥ずかしさからの受診遅れが症状を悪化させることがありますので、安心してご相談ください。
-
Q
痔の再発を防ぐためにはどうすればよいですか?
-
A
痔の再発予防には日常生活の改善が重要です。食物繊維を多く含む食事、十分な水分摂取、規則正しい排便習慣の確立が効果的です。また、排便時に力まないよう心がけ、便秘や下痢を放置しないことも大切です。定期的な検診で早期発見・早期治療も再発防止につながります。



